A man in glasses and a white shirt holding up and examining medical images or scans on a lightbox, with one hand pointing at the images.

Treatment of Dental Implant Complications

Dr. Scott Froum provides expert treatment for dental implant complications in Midtown Manhattan, NYC.

Contact us at 212-751-8530 to schedule your consultation and learn how we can help protect your implant investment.

Complications of Dental Implants

Dr Giving Lecture

Dental implants are highly predictable, with a documented long-term success rate of over 90%. However, dental implant complications and failures can and do occur. As the number of implants placed each year continues to rise, the overall volume of implant-related problems has naturally increased as well

Dr. Scott H. Froum is a recognized leader in the field of dental implant complications.. He has lectured extensively throughout the country on the subject of implant complications teaching other dentists how to treat implant-related problems. He has authored and written numerous papers and textbooks on implant problems and is considered to be one of the leading dentists in this complex area of care. 

If you have been told that your implant has failed, Dr. Froum offers second opinions and comprehensive treatment solutions to help salvage or correct your dental implants.

If your dentist or periodontist has informed you that your implant is failing or you are seeing poor results with your dental implants following your initial treatment, Dr. Froum can provide comprehensive care for dental implant repairs.

Some complications may be relatively minor and correctable, while others will be major and result in the loss of the implant or prosthesis (crown or bridge or denture). Because implant problems can progress rapidly, early evaluation and intervention are critical. Knowledge of the possible corrective surgical and restorative treatments available is essential to achieving the best possible outcome.

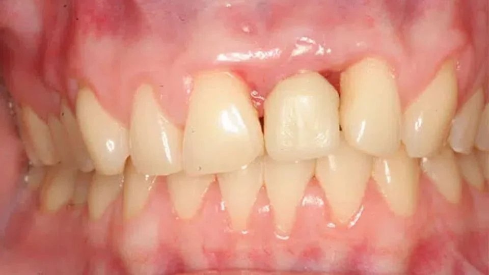
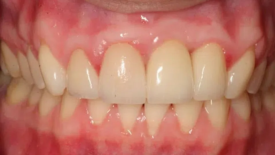
Before and After Treatment of Dental Implant Complications Treatment

Close-up of a person's teeth, showing misalignment and crowding.
Close-up of a person's teeth showing the upper and lower front teeth, with some uneven spacing and slight crowding.
Close-up of a person smiling showing their teeth with some gaps and uneven spacing.
Close-up of a smiling person showing their teeth, with visible gums.
Close-up of a smiling person's mouth showing teeth.
Close-up of a person's smile showing upper and lower teeth.

Possible Complications Associated with Dental Implants

Dental implants are highly successful, and when paired with appropriate follow-up care and regular checkups, they typically function without problems

However, like any other mechanical body part, breakdowns and complications can occur over time. Certain issues may arise that affect both the functionality and appearance of your smile.

If you experience any of the following problems with your dental implants, Dr. Scott Froum’s Midtown Manhattan office can provide quick and effective care with personalized attention to improve your smile.

Inflamed Gum Tissue

 Inflammation, swelling, or bleeding in the gum tissue surrounding a dental implant could indicate that the implant is loose, infected, or compromised. Left untreated, this condition can rapidly worsen, risking both the implant and surrounding bone Any swelling, redness, or bleeding near an implant should be evaluated immediately by a periodontal specialist.

Broken Crowns

A broken crown may result from normal wear and tear, however,  it could indicate a problem with the underlying implant itself. It is important to seek periodontal care to ensure that both the broken crown and the supporting implant are properly addressed.

Exposed Implants

An improperly supported implant or untreated gum disease may expose the roots of a dental implant. This will not only cause an unsightly appearance, but it can pose a high risk for infection of the surrounding teeth, gum tissue, and jawbone.

Early intervention can help prevent further damage and improve the appearance and health of the implant site.

Where to Turn for Dental Implant Issues

With decades of experience in periodontology and implantology, Dr. Scott Froum is recognized as a leader in the repair and restoration of all types of dental implants. 

Therefore, it is best to turn to our Manhattan periodontal practice if you have a problem with your dental implants. 

To schedule an appointment where you can explore the causes of your implant issues and find effective surgical or conservative treatment options, call us today at (212) 751-8530.

Frequently Asked Questions

  • The main complications associated with dental implants in NYC can be broken down into two major categories: problems with the dental implant itself or problems with the bone and gum holding the dental implant into the jaw.

    Problems with the dental implant itself include the implant screws loosening or breaking, the dental implant fixture breaking, the tooth crown breaking or getting loose, and the dental abutment getting loose or breaking. 

    Problems with the supporting bone and gum tissue that hold the dental implant into the jaw usually come from the invasion of bacteria that cause a dental implant to become infected. When an infection occurs, the gum and bone tissue holding the dental implant can be lost and the dental implant can get loose and fall out.

    Early diagnosis and specialized treatment are critical to preserve implant function and prevent further complications.

  • Following dental implant surgery in NYC, minor issues may include infection, swelling, bruising, and bleeding in the area of the dental implant. 

    In rare cases, dental implants can also get loose and fall out if the bone and dental implant do not combine with each other (a process called osseointegration). 

    Some mild discomfort or dull throbbing is normal for a short period after surgery. Significant pain is uncommon and should be evaluated promptly if it occurs.

    In rare cases, dental implants can also get loose and fall out if the bone and dental implant do not combine with each other (a process called osseointegration). 

    Some mild discomfort or dull throbbing is normal for a short period after surgery. Significant pain is uncommon and should be evaluated promptly if it occurs.tion

  • Dental implant complications and dental implant failures can occur quite quickly after the onset of an infection or broken dental implant part. Unlike natural teeth, dental implants have a weaker attachment to the bone and gum. As a result, when a dental implant has a complication including infection, failure of the dental implant can occur much quicker than when a natural tooth has a problem. Therefore, it becomes very important to treat dental implant complications as soon as they are identified to prevent the problem from becoming more severe. 

    If you notice any signs of implant problems, contact Dr. Scott Froum’s Midtown Manhattan office immediately for expert evaluation and care.

  • Dental implants are placed directly into the jawbone and can help the bone from atrophying (shrinking) after you lose your real tooth. 

    Once a crown or prosthetic tooth is attached to the implant, it restores normal biting forces, placing healthy stress on the bone — just like a natural tooth would. This keeps the jaw bone from dissolving. 

    However, if a dental implant becomes infected after they are placed into the jaw, bone loss around the implant can still occur, much like periodontal disease around natural teeth..

    Regular maintenance and periodontal care are essential to ensure the long-term success of dental implants.

  • A dental implant may be in the process of being rejected (failing) if you notice any of the following signs:

    • The gum tissue around the dental implant is bleeding, pussing, and/or swollen. 

    • The bone holding the dental implant in the jaw can start to be lost as well when an implant is being rejected. 

    • Loosening of the implant itself.

    Pain is not always a reliable indicator of dental implant rejection as some patients experience little to no plan when a dental implant complication is developing.  However, a dental implant should not be painful except minor discomfort immediately following surgery.

    The ultimate form of dental implant rejection is if the implant becomes loose, unstable or falls out. 

    Early evaluation by a periodontal specialist like Dr. Scott Froum is critical to diagnose and manage problems before complete implant loss occurs.

  • Dental implant complications and failures are treatable when they are diagnosed early. There are a variety of different treatments available to repair dental implants and regrow bone and gum tissue around dental implants that have been diseased. If you have a failing dental implant in NYC with dental implant complications,  get a consult from a periodontist to see if the dental implant can be saved.

    Dr. Scott Froum’s Midtown Manhattan practice specializes in saving and restoring dental implants whenever possible.

  • The majority of dental implants fail within the first year of them being surgically placed into the jaw. Studies show that most dental implants will fail and come out in the first year after a tooth is placed on top of them. To reduce the risk of implant complications, it is important that you get periodic checkups, x-rays, and professional cleanings after you receive dental implants 

    Ongoing maintenance at a specialist practice like Dr. Scott Froum’s Midtown Manhattan office plays a key role in ensuring long-term implant success.

  • Dental implants usually fail when they lose enough bone and gum tissue around them that they are no longer fixated on the jawbone. They become loose and either fall out or need to be taken out. Dental implants can also fail when the parts of the implant become loose or break. Many times dental implant parts can be replaced, however,if the implant completely breaks then it has failed and needs to be removed.

  • Failed dental implants can be replaced with a high degree of success when treated by an experienced implant surgeon. Typically, the area of the jawbone that had the failed dental implant will need to have a bone graft and/or gum graft placed after the dental implant is removed.

    After grafting, the area is then allowed to heal prior to placing a new dental implant. In addition, it is important to determine and address the reason why the first dental implant failed, to help ensure the replacement dental implant does not have the same problem.

  • There are many different treatments available to fix failing dental implants in NYC. The first step is to check and see if the dental implant fixture itself is loose. If the dental implant is loose, it needs to be removed and replaced. 

    If the dental implant has lost bone and/or gum tissue, there are surgical techniques available to regenerate new bone and gum around a diseased dental implant. Dental implant screws can also become loose or break and may need to be carefully removed and  replaced. Loose or broken dental implant abutments or crowns can also be repaired if they are carefully removed without damaging the dental implant fixture.  When you have a dental implant complication, it is very important to consult an experienced implant surgeon that knows how to handle different types of implant complications.

Related Services

Contact us at 212-751-8530 to schedule an appointment.

Dr. Scott Froum In the Press

New studies show that implant material breakdown can cause your implant to fail. Read Dr. Scott Froum’s article in the Perio-Implant Advisory to find out how this happens and what are the treatments for it.

Metallosis and dental implant failure: The impact of implant breakdown

Dental implant metallosis prevention and treatment

Contact Us

Contact Dr. Scott Froum’s Midtown Manhattan office today to schedule your consultation and protect your natural smile

Call us to make an appointment: 212-751-8530

Location:

1110 2nd Ave Ste 305
New York, NY 10022

Click for directions