Close-up of a woman smiling showing off her gum graft

Gum Grafting in Midtown Manhattan, NYC - New York Periodontist Dr. Scott Froum

Quicklinks

What Is Gum Grafting?

Gingival grafting is a periodontal treatment used to rebuild gum tissue that has worn away or pulled back from the teeth. When gums recede, they can leave part of the tooth or an exposed tooth root unprotected. This procedure helps restore support around the teeth, protect oral health, and reduce discomfort.

A gingival graft works by adding healthy tissue to areas affected by recession, helping to strengthen the gum line and protect the underlying tooth structure. The goal is not only to improve how the gums look, but also to protect the teeth and bone underneath.

Determining Ideal Gum Graft Candidates

Patients who may be good candidates for gum grafting often have receding gums that continue to worsen, exposed tooth roots, increased tooth sensitivity, or a higher risk of cavities on root surfaces. It may also be recommended for patients with thin gum tissue or existing recession before or during orthodontic treatment, as well as for those who are concerned that recession is making their teeth look longer or uneven. In these cases, gum grafting can help strengthen vulnerable tissue, protect the teeth from further damage, and improve the appearance of the gum line.

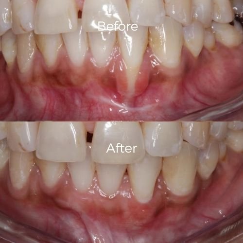
Gum Grafting before and after to combat gum recessions
Gum grafting procedure with Dr Scott Froum
Before and After Gum Grafting with Dr Scott Froum
Example of Gum Recession and Gum Grafting

Gum Recession: A Reason to Seek Gum Grafting

What Is Gum Recession?

Gum recession happens when the gums slowly pull away from the teeth, a condition also referred to as gingival recession. This can make teeth look longer and may cause sensitivity to hot, cold, or sweet foods. In more advanced cases, the exposed root can be at higher risk for decay or damage.

Receding gums often develop gradually, so many people do not notice the problem until symptoms appear.

Why Does Gum Recession Occur?

There are several reasons gums may begin to thin or recede, including:

  • Gum disease or periodontal disease

  • Long-term inflammation around the teeth

  • Aggressive brushing your teeth or poor brushing habits

  • Naturally thinning gums

  • Misaligned teeth or bite problems

  • Previous dental treatment

  • Genetics

If left untreated, gum recession can lead to bone loss, ongoing discomfort, and even tooth loss over time.

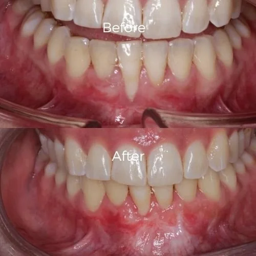
Example of Gum Recession

Example of gum recession

After Gum Grafting Surgery

After gum grafting surgery with Dr. Scott Froum

Why Treatment May Be Needed

When gum tissue pulls back, it can no longer protect the tooth and bone properly. Treatment may be recommended as part of broader procedures for receding gums to:

  • Help cover the exposed root

  • Reduce sensitivity and discomfort

  • Reduces the risk of decay on the root surface

  • Prevent further gum and bone damage

  • Support long-term gum health

  • Stabilize teeth affected by periodontal disease

Early treatment can help prevent more serious problems in the future.

Approaches to Gum Grafting Used at Dr. Scott Froum’s 

There are several ways to treat gum recession, and the most appropriate approach depends on your individual needs, the amount of existing gum tissue, and overall oral health. At Dr. Scott Froum’s practice, regenerative and minimally invasive techniques are used whenever possible, with traditional types of gum grafting reserved for select cases.

Platelet-Rich Fibrin (PRF)

PRF uses growth factors derived from your own blood to support healing and soft tissue regeneration. In appropriate cases, PRF may be used to help improve gum thickness and support natural tissue repair without the need for grafting from the palate.

Minimally Invasive Techniques

The Chao Pinhole® Surgical Technique is a minimally invasive method that repositions gum tissue through an opening, without cutting or stitching. It can be effective for cases of gum recession and avoids the need to harvest tissue from the roof of the mouth.

Donor Tissue Grafts

In some situations, donor tissue may be used instead of a patient’s own tissue. These grafts, which may include allograft or xenograft tissue, are obtained from carefully processed sources and can reduce healing time while avoiding a second surgical site in the mouth.

Connective Tissue and Free Gingival Grafts

Traditional grafting techniques involve taking tissue from the roof of the mouth to cover exposed tooth roots or strengthen thin gums. These methods are well established and are often used to improve gum thickness, stability, and long-term protection around the teeth.

Leading With Regenerative and Minimally Invasive Treatment

At Dr. Scott Froum’s periodontist practice in NYC, treatment is planned conservatively, with an emphasis on preserving natural tissue whenever possible. Whenever appropriate, minimally invasive options are considered first, with traditional grafting reserved as a last resort. The specific approach is always chosen based on what is most appropriate for the patient and the long-term health of the gums.

Benefits of Gum Grafting

A successful gum graft procedure can support long-term oral stability and gum restoration, providing benefits such as:

  • Protection for exposed tooth roots

  • Reduced gum sensitivity to temperature and touch

  • Slowing or stopping further gum recession

  • Lower risk of decay and infection

  • Improved comfort when eating and brushing

  • Healthier, more balanced gum appearance

Man smiling after gum grafting

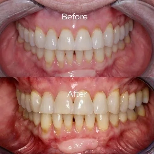
Before and After Gum Grafting

Our before-and-after gum grafting cases often feature patients with progressing gum recession, exposed roots, and thinning tissue caused by factors such as aggressive brushing, periodontal disease, or naturally delicate gums. Many seek treatment because exposed root surfaces leave teeth more vulnerable to decay, sensitivity, and plaque buildup, while others need added support before or during orthodontic treatment to help prevent recession from worsening as teeth move.

A gum graft procedure can also be an excellent option for patients bothered by teeth that appear too long or uneven due to recession. By rebuilding lost gum tissue, these cases show how treatment can protect roots, reduce sensitivity, lower cavity risk, improve gum stability, and create a healthier, more balanced-looking smile.

What to Expect During the Procedure

The gum grafting procedure is usually performed under local anesthetic to keep you comfortable. Some patients may also choose sedation. This gum graft surgery is completed in a single visit, and you can return home the same day.

During the procedure, tissue is carefully placed over the affected area and secured so it can heal properly. Most patients describe the experience as manageable and well tolerated.

Gum Graft Recovery and Aftercare

Recovery varies, but most people return to normal daily activities within a few days. Healing of the grafted area takes longer and continues over several weeks. Further recovery information can be found in Dr. Scott Froum’s soft tissue graft aftercare instructions.

During recovery, you may be advised to:

  • Eat soft food

  • Avoid brushing the treated area at first

  • Follow specific oral care instructions

  • Attend follow-up visits to check healing

Mild swelling or soreness is normal and improves steadily as the area heals.

How Much Does Gum Grafting Cost

In many cases, treatment may be partially covered by dental insurance when it is medically necessary, such as when related to gum disease or risk of tooth loss. Coverage varies by plan, and the office team can help review your benefits.

Specialist Gum Care in Midtown Manhattan

Dr. Scott Froum is a board-certified periodontist in NYC, specializing in the treatment of gum recession, periodontal disease, and advanced soft tissue care. His work focuses on conservative, evidence-based periodontist surgery designed to protect natural teeth and restore long-term oral health.

His Midtown Manhattan practice serves patients throughout New York City, including those seeking second opinions for complex gum conditions or considering options such as a gum transplant.

If you’ve been told you have receding gums, an exposed root, or signs of periodontal disease, a specialist evaluation can help determine the best approach.

You may wish to:

  • Schedule a consultation

  • Seek a second opinion

  • Discuss treatment options tailored to your needs

Frequently Asked Questions About Gum Grafting

  • Receding gums cannot grow back on their own, but treatment can help protect the teeth and restore lost support. Procedures such as gum grafting can cover exposed roots, reduce sensitivity, and help prevent further recession.

  • It is rarely “too late,” but earlier treatment usually leads to better outcomes. A specialist evaluation is needed to determine whether there is enough healthy gum tissue and bone to support treatment.

  • A gum graft may be recommended when gums have receded enough to expose tooth roots, cause sensitivity, or increase the risk of decay and bone loss. A periodontal evaluation helps determine whether grafting is appropriate.

  • Many patients experience a noticeable reduction in sensitivity after treatment because exposed tooth roots are covered and protected. While results vary, sensitivity often improves as the area heals.

  • The procedure is performed under local anesthesia, so discomfort during treatment is minimal. Some soreness during recovery is normal, but it is usually manageable and improves steadily over time.

  • While some general dentists have training in gum grafting, gum graft procedures are typically best performed by periodontists, specialists in gum and bone surgery.

  • The cost of gum grafting depends on the number of teeth treated, the type of graft used, and the complexity of the case. A consultation is needed to provide an accurate estimate based on your individual needs.

  • In many cases, dental insurance may partially cover gum grafting when it is medically necessary, such as for treating gum disease or preventing further damage. Coverage varies by plan, and your provider’s office can help review your benefits.

  • Most gum graft procedures take about one to two hours, depending on how many areas are treated and the technique used. The procedure is typically completed in a single visit.

  • Initial healing usually occurs within one to two weeks, but full healing of the grafted tissue can take several weeks. Healing time varies depending on the graft type, overall health, and how well aftercare instructions are followed.

  • Yes. Once healing is complete, gum grafts are designed to blend naturally with your existing gum tissue. Over time, the grafted area typically matches the surrounding gums in color and contour.

  • Gum grafting is intended to provide long-term protection for exposed roots and improve gum stability. While results are long-lasting, maintaining good oral hygiene and regular dental care is essential to protect the graft over time.

  • Most patients can gradually return to a normal diet after one to two weeks, depending on healing progress. Hard, crunchy, or spicy foods are usually avoided until the graft has stabilized.

  • After gum grafting, soft foods are recommended to protect the healing area. Foods like yogurt, eggs, smoothies, mashed vegetables, and soft fish are commonly advised during early recovery.

Related Services and Topics

Contact us at 212-751-8530 to schedule an appointment.

Contact Us

Ready to restore your gum health and protect your smile?

Contact our Midtown Manhattan office today to schedule your appointment with Dr. Scott Froum, a leading periodontist in NYC.

Call us to make an appointment: 212-751-8530

Location: 1110 2nd Ave Ste 305, New York, NY 10022

Click for directions