Healthcare professional in green scrubs and gloves holding a dental hygiene model, toothbrush, and dental anatomy model in a clinic setting.

Saving Natural Teeth Treatment

REQUEST AN APPOINTMENT

Awarded Best Periodontist
New York City · 2025

What Is Saving Natural Teeth Treatment?

Saving teeth treatment focuses on keeping natural teeth at risk due to gum disease, infection, or bone loss through careful tooth preservation. Instead of removing teeth right away, this approach looks for ways to stabilize and support them using advanced periodontal therapy.

At Dr. Scott Froum’s Midtown Manhattan practice, treatment begins with understanding why a tooth is becoming unstable. As a saving teeth specialist, Dr. Froum plans care to rebuild lost support and protect natural teeth whenever it is safe and appropriate to do so.

Why Saving Natural Teeth Matters

Natural teeth are connected to the gums and jawbone by living tissue that helps absorb chewing forces and keeps the bone healthy. When a natural tooth is saved, it continues to support the jawbone and helps nearby teeth stay stable.

While dental implants and bridges can replace missing teeth, they do not work exactly like natural teeth. For this reason, keeping your own teeth is often the most conservative and long-lasting option when possible.

When Is Saving Teeth Treatment Considered?

Saving teeth treatment may be an option when teeth are affected by:

  • Gum disease or periodontal disease

  • Bone loss around one or more teeth

  • Tooth decay that has compromised tooth structure

  • Infection that weakens tooth support

  • Loose teeth caused by loss of bone or gum tissue

  • Teeth that have been called “hopeless” using older guidelines

A detailed periodontal exam is needed to decide whether a tooth can be saved and which

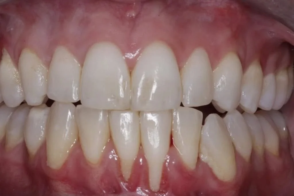
Before a gum grafting procedure with the best periodontist in NYC

Before saving teeth treatment

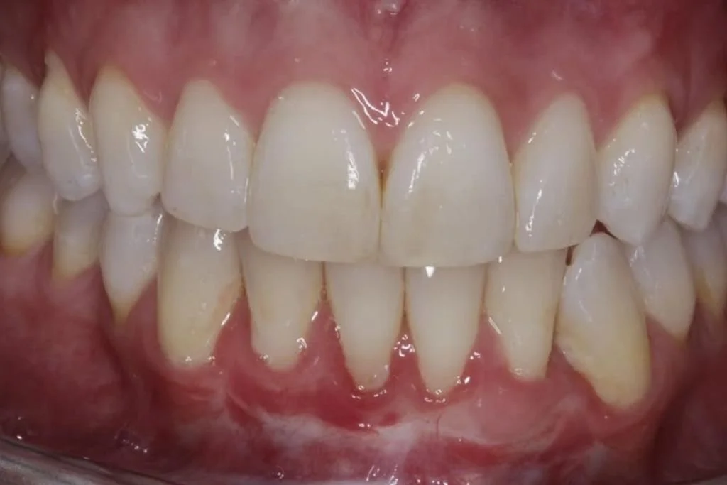
After gum graft with the best periodontist in NYC

After saving teeth treatment with Dr. Scott Froum

How Saving Teeth Treatment Works

Saving teeth treatment is not a single procedure. It is a step-by-step plan that may include several treatments working together.

Treatment often focuses on:

  • Controlling infection and inflammation

  • Rebuilding lost bone

  • Strengthening gum support

  • Improving tooth stability

  • Supporting the body’s natural healing process

Each plan is based on the condition of the gums, the amount of bone loss, and the strength of the remaining tooth structure. Once teeth are stabilized and infection is controlled, coordination with restorative dentistry may be needed to rebuild damaged tooth surfaces and support long-term function.

REQUEST AN APPOINTMENT

Periodontal Regeneration to Help You Keep Your Natural Teeth

At our Midtown Manhattan periodontal practice, advanced gum disease and bone loss are treated using a combination of modern techniques. These treatments are often used together to help save teeth that might otherwise need to be removed.

Gum Grafting

When gums pull away from the teeth, the roots become exposed. This makes teeth more sensitive and more likely to collect bacteria, which can lead to further bone loss.

Gum grafting helps rebuild the gum tissue around affected teeth. Healthier gums protect exposed roots and improve tooth stability over time.

Learn More About Gum Grafting

Bone Grafting

Bone loss around a tooth can cause it to loosen and become less stable. Without treatment, this bone loss can continue.

Bone grafting is used to replace missing bone and help the body grow new bone in that area. Rebuilding bone can improve support around natural teeth and help prevent further damage.

Learn More About Bone Grafting

Laser-Assisted Regeneration

Laser therapy may be used to reduce harmful bacteria and calm inflammation around the teeth and gums. It can also help support the body’s healing response.

This minimally invasive treatment can be used alongside other therapies to improve healing and support natural tooth preservation.

Learn More About Lasers in Dentistry

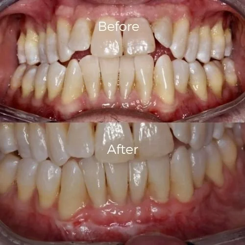
Before and After Saving Teeth Treatment

Leading With a Preservation-Focused Approach

Dr. Scott Froum is a board-certified periodontist and implantologist NYC patients trust for saving natural teeth. His practice provides advanced tooth preservation NYC services to patients throughout Midtown Manhattan and the wider New York City area, including those seeking second opinions for infection-related tooth loss or severe bone loss.

As a recognized saving teeth specialist NYC, Dr. Froum provides personalized care focused on stability, function, and long-term oral health.

REQUEST AN APPOINTMENT

What to Expect During Treatment

Saving teeth treatment is usually done in stages. Most procedures are performed using local anesthesia, with sedation options available when needed.

Treatment is planned to keep patients comfortable and to support proper healing.

Recovery and Long-Term Care

Long-term success depends on both treatment and ongoing care. After regenerative treatment, patients may need:

  • More frequent professional cleanings at first

  • Clear home care instructions

  • Regular periodontal checkups

  • Ongoing monitoring of gum and bone health

Patients play an important role in protecting the results of treatment over time.

When Saving a Tooth May Not Be Possible

In some cases, a tooth cannot be saved due to severe damage, advanced infection, or lack of remaining bone support.

When this happens, treatment planning focuses on protecting the remaining teeth and supporting overall oral health.

Specialist Saving Teeth Treatment in Midtown Manhattan

Dr. Scott Froum is a board-certified implantologist and periodontist in NYC with extensive experience in saving natural teeth using advanced periodontal and regenerative care. His Midtown Manhattan practice treats patients throughout New York City, including those seeking second opinions before tooth extraction.

As a recognized saving teeth specialist NYC, Dr. Froum provides personalized care focused on stability, function, and long-term oral health.

Patient with Dr Scott Froum, best periodontist in NYC, after saving teeth treatment
REQUEST AN APPOINTMENT

Frequently Asked Questions About Saving Teeth Treatment

  • Teeth that have lost bone and gum tissue can be regenerated with the addition of bone grafts, gum tissue grafts, and natural growth factors. 

    At our Midtown Manhattan periodontal practice,we use the highest quality of bone graft materials, most often sterile bovine bone, to act as a scaffold that helps stimulate your own body to grow bone back. 

    We also harness growth factors and soft tissue grafts that we take from your own blood. We draw your blood and spin it in a centrifuge to harvest your own growth factors from the body. Platelet derived growth factor (PDGF) is released by the platelets in your blood, often referred to as  nature’s wound healer. 

    This PDGF is combined with bone and gum tissue grafts to stimulate your own stem cells and promote the regrowth of lost bone and gum tissue.

    Additionally, we use advanced lasers that both stimulate your own stem cells to turn on and  efficiently remove bacteria around the teeth and gums. 

    The combination of laser therapy, advanced bone graft materials, and specialized surgical techniques allow us to  rebuild lost bone and gums that were not possible even a decade ago.

  • After your bone and gum tissue rebuilding is complete, it is essential to closely follow post-operative instructions and maintain excellent home hygiene. 

    Professional cleanings will be increased initially,as the same bacteria that originally caused your bone and gums loss can repopulate safely. 

    You will receive specific home care instructions and specialised  hygiene products to use daily. We will also customize a professional tooth cleaning schedule tailored to your unique treatment and case type. 

    You are an integral part to a successful treatment outcome.

  • Your natural teeth have stronger attachments to the bone and gum tissues compared to dental implants and they can better withstand bacterially induced diseases to a higher degree. 

    Dental implants, when exposed to the same oral infections, will lose gum and bone tissue faster than your own teeth. 

    Additionally, your natural teeth are supported by periodontal, ligaments, which help absorb chewing forces and protect against breakage, a feature that may cause implant parts to break. 

    As your jawbone naturally grows and shifts over time, your natural teeth adjust accordingly, maintaining their proper alignment with the gums and bone.. 

    In contrast, dental implants are fixed rigidly into your bone, meaning that over time, the position of the gums and bone change around them so the implants can start to show through the bone and gum tissue leading to metal exposure, long looking teeth, grey shadowing in the implant area, and other dental implant complications.

  • Not always. Teeth that appear severely damaged, loose, or affected by bone loss may still be preserved in some cases. Preserving natural teeth is often worth trying because it helps maintain jawbone support, chewing function, and overall oral health. A periodontal evaluation helps determine whether enough tooth, bone, and gum support remain to make preservation a realistic option.

  • Sometimes. A badly decayed tooth may still be preserved if enough healthy tooth structure and supporting bone remain and infection can be controlled. A specialist assessment is needed to determine whether preservation is possible or if other treatment is required.

  • In many cases, yes. Teeth affected by bone loss may still be preserved if infection is controlled and enough healthy tooth structure remains. A periodontal evaluation is needed to determine whether treatment can restore stability and long-term support.

  • When possible, preserving a natural tooth is often preferred because it maintains jawbone support, chewing function, and natural bite mechanics. However, each case is unique, and treatment decisions are based on long-term stability and overall oral health.

  • A tooth may be labeled “hopeless” when there is advanced bone loss, infection, or structural damage. Modern periodontal care has expanded what can be treated, and some teeth once considered hopeless may still be saved after specialist evaluation.

  • In some cases, yes. Saving teeth treatment may help stabilize and preserve natural teeth that would otherwise be recommended for extraction. Whether this is a safe and predictable alternative depends on the condition of the tooth, the amount of remaining bone and gum support, and overall oral health. A specialist evaluation is needed to determine the best option.

  • Yes. A second opinion from a periodontist can help determine whether a tooth can be stabilized or preserved before extraction is considered. In some cases, this can prevent unnecessary tooth removal.

  • Loose teeth may become more stable if the underlying cause, such as infection or bone loss, is treated. The ability to regain stability depends on how much support can be restored and how the tooth responds over time.

  • Saving teeth treatment is often completed in stages rather than a single visit. The length of treatment depends on the severity of disease, healing response, and the need for ongoing monitoring and follow-up care.

  • In some cases, preserving natural teeth can delay or avoid the need for dental implants. The goal of treatment is to maintain natural teeth whenever it is safe and predictable to do so.

  • If a tooth cannot be saved, treatment planning focuses on protecting the remaining teeth and supporting overall oral health. Replacement options are discussed only after preservation is no longer a viable option.

  • A periodontist specializes in the health of the gums and bone that support the teeth. This training allows for a more detailed evaluation of whether a tooth can be preserved and which approach offers the best long-term outcome.

  • No. Root canal treatment addresses infection inside the tooth, while saving teeth treatment focuses on the gums and bone that support the tooth. In some cases, both treatments may be needed to preserve a natural tooth, and care is coordinated with the appropriate specialist.

  • An endodontist focuses on treating problems inside the tooth, such as infected nerves, and commonly performs root canal treatment. A periodontist specializes in the tissues that support the teeth, including the gums and jawbone, and treats conditions like gum disease, bone loss, and gum recession. For issues involving the health and stability of the gums and bone, a periodontist is typically the appropriate specialist.

Related Services and Topics

Back to Periodontal Services

Contact Us

If you have been told a tooth needs to be removed or are concerned about bone loss or gum disease, a specialist evaluation can help you understand your options.

Contact our Midtown Manhattan office today to schedule your appointment with Dr. Scott Froum, a leading implantologist and periodontist in NYC.

Call us to make an appointment: 212-751-8530

Location: 1110 2nd Ave Ste 305, New York, NY 10022

Click for directions