A man brushing his teeth while looking into a mirror, smiling.

Saving Your Own Natural Teeth

REQUEST AN APPOINTMENT

Your natural teeth play a far greater role in your health than many people realize.

Beyond appearance, they support chewing efficiency, jaw stability, gum health, and long-term oral function. Preserving your own teeth whenever possible is often the most biologically sound and cost-effective approach to long-term oral health.

At Dr. Scott Froum’s Midtown Manhattan practice, care is focused on identifying the underlying causes of tooth and bone loss and offering tooth preservation treatment NYC patients can trust to protect natural tooth structure before extraction becomes necessary. Recognized as one of the Best Periodontists in New York City, Dr. Froum regularly evaluates cases where teeth have been labeled “hopeless teeth” and determines whether preservation is still possible.

Why Natural Teeth Matter More Than You Think

Natural teeth are living structures designed to work in harmony with the gums, jawbone, and surrounding tissues. When healthy and stable, they help maintain balance throughout the mouth and reduce stress on neighboring teeth.

Natural teeth help to:

  • Stimulate the jawbone and maintain bone density

  • Support a stable bite and proper chewing function

  • Protect surrounding teeth and gum tissue

  • Maintain facial structure and appearance

  • Reduce the risk of progressive periodontal disease

Saving natural teeth allows the mouth to function as a complete system, rather than relying on replacements such as dental implants, bridges, or dentures.

Woman brushing teeth to preserve her natural teeth.

What Happens When Natural Teeth Are Lost

Tooth loss is often viewed as a local issue, but its effects can extend throughout the mouth and jaw over time.

When a tooth is lost, it may lead to:

  • Progressive bone loss due to lack of stimulation

  • Bone defects in the jaw

  • Shifting or drifting of adjacent teeth

  • Bite alignment changes and uneven chewing forces

  • Increased stress on remaining teeth

  • Greater risk of gum disease and periodontal disease

  • More complex and invasive dental treatment later

The longer a tooth has been missing, the more challenging it becomes to restore stability and function. This is why natural tooth preservation NYC patients seek early care whenever possible.

Man biting into pizza showcasing uneven chewing patterns.

Saving “Hopeless” Teeth: When Preservation May Still Be Possible

Some teeth are described as “hopeless” due to advanced bone loss, infection, or damage to the tooth structure. However, advances in periodontal regeneration, periodontal treatment, and bone grafting mean that many teeth once considered unsalvageable can now be treated successfully.

In many cases, saving hopeless teeth may be possible through:

Progressive bone loss due to lack of stimulation

The use of growth factors that stimulate regeneration

Bone grafts to address bone defects

Regenerative procedures to support healing

Stabilization of loose teeth

Careful evaluation of remaining tooth structure

Can My Teeth Be Saved Before Extraction Is Considered?

In this short video, Dr. Scott Froum explains how his practice specializes in saving natural teeth using advanced regenerative techniques like bone grafting and soft tissue regeneration. If you've been advised that your tooth must be extracted, this video may offer a new perspective and a second chance to preserve your smile. Learn how our office helps patients keep their natural teeth, even in cases other dentists considered hopeless.

REQUEST AN APPOINTMENT

The Importance of Early Intervention

Conditions that threaten tooth survival often develop slowly. Gum disease, bone loss, gum recession, and bite problems may progress quietly before noticeable symptoms appear.

Early intervention can:

  • Slow or stop periodontal disease progression

  • Preserve bone and gum tissue

  • Maintain a wider range of treatment options

  • Reduce the need for extensive surgical procedures

  • Improve long-term outcomes

Addressing problems early allows for more conservative care and often helps patients avoid having a tooth extracted.

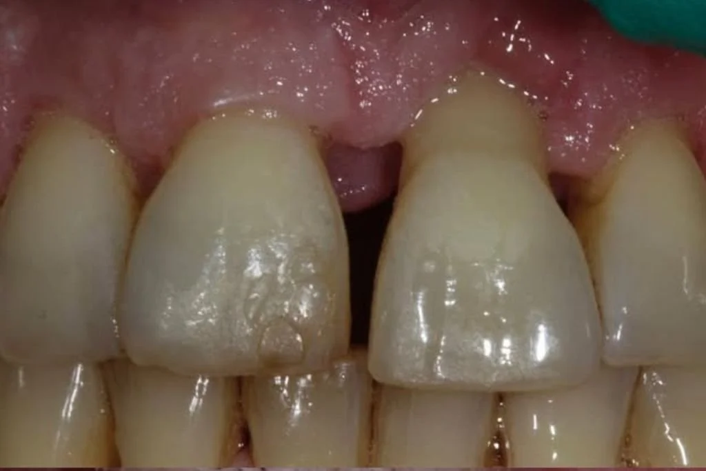
Before Saving Teeth Treatment at Dr. Scott Froum's periodontist practice.

Severe boneless around the four front teeth.

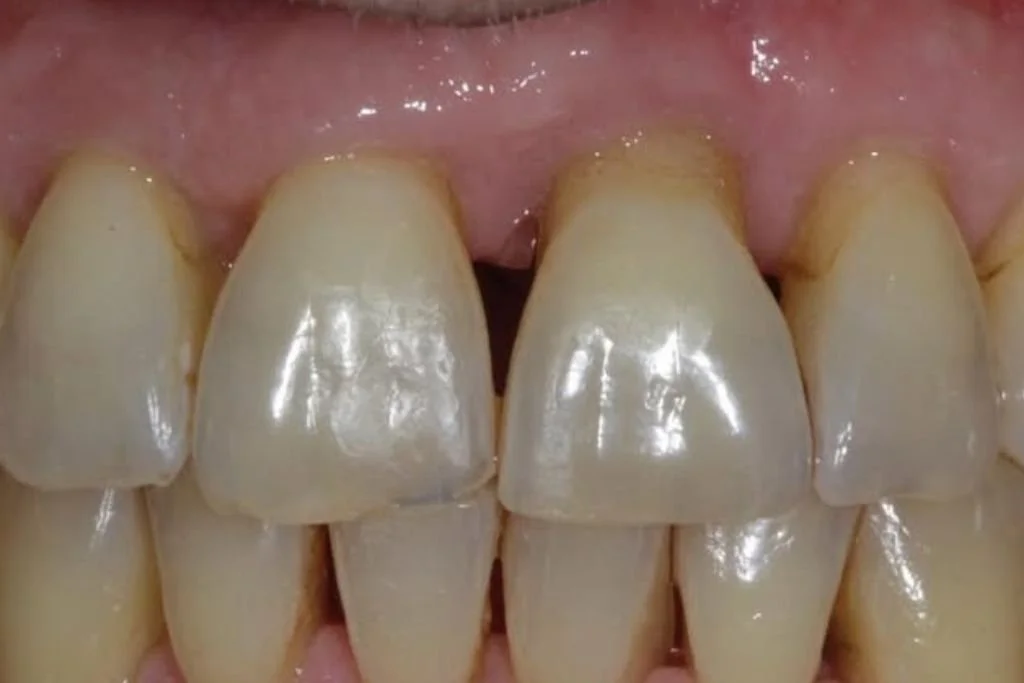
After Saving Teeth Treatment at Dr. Scott Froum's periodontist practice.

A Conservative, Whole-Health Approach to Tooth Preservation

At Dr. Scott Froum’s practice, treatment decisions are guided by a conservative, biologically informed philosophy. Whenever possible, care focuses on natural tooth preservation and supporting the health of the surrounding gums and bone.

This approach considers:

  • Gum health and chronic inflammation

  • Bone support and the potential for reversing bone loss in teeth naturally

  • Bite alignment and functional forces

  • The relationship between oral health and overall well-being

Rather than defaulting to extraction or dental implants, treatment planning aims to work with the body using regenerative and minimally invasive techniques whenever appropriate.

REQUEST AN APPOINTMENT

When Saving a Tooth May No Longer Be Possible

While preserving natural teeth is often the goal, it is not always the best option in every situation. Advanced periodontal disease, severe infection, fractures, or insufficient remaining tooth structure may sometimes make extraction necessary.

In these cases, the focus shifts to:

  • Protecting remaining natural teeth

  • Preserving bone and gum health

  • Planning for long-term oral stability and function

  • Evaluating replacement options such as dental implants or bridges

Careful evaluation ensures that treatment supports overall oral health rather than creating new problems in the future.

Caring for Your Teeth Long-Term

Maintaining natural teeth requires ongoing care and professional monitoring. Daily habits, combined with specialist oversight, play a key role in long-term success.

Long-term tooth preservation is supported by:

  • Consistent oral hygiene practices

  • Gentle brushing and flossing techniques

  • Managing gum inflammation early

  • Addressing bite issues promptly

  • Regular periodontal evaluations

Patients concerned about how to stop bone loss in teeth or whether it is possible to reverse bone loss in teeth often benefit from early specialist guidance.

Saving Teeth Specialist in Midtown Manhattan

Dr. Scott Froum is a board-certified periodontist and implantologist NYC patients trust for saving natural teeth. His practice provides advanced tooth preservation NYC services to patients throughout Midtown Manhattan and the wider New York City area, including those seeking second opinions for infection-related tooth loss or severe bone loss.

As a recognized saving teeth specialist NYC, Dr. Froum provides personalized care focused on stability, function, and long-term oral health.

Dr Scott Froum with happy patient after saving a hopeless tooth.
REQUEST AN APPOINTMENT

Frequently Asked Questions: Saving Your Own Natural Teeth

  • It is never too late to fix bad teeth. Chronological age itself has no direct impact on a person’s ability to heal.

    While certain health conditions and medications associated with aging may influence treatment plans, age alone is not a barrier to successful dental care.

  • Depending on the extent of the cavity , badly decayed teeth can often be saved.

    If a cavity has entered the center of the tooth and affected the nerve, successful root canal therapy can often preserve the tooth. A filling may repair less extensive decay, while more damaged teeth may require a build-up followed by a dental crown to restore structure and function.

    Sometimes, a periodontist may need to perform crown lengthening to allow enough room for  a durable restoration.

    In cases where the tooth cannot be rebuilt, root canaled, or too much bone support is lost, tooth extraction may become necessary.

  • If a periodontist or endodontist determines that a tooth cannot be saved, there are many excellent replacement options available.

    • Dental implants can replace one or multiple missing teeth with durable, natural-looking restorations.

    • Dental bridges can anchor to neighboring teeth to fill gaps.

    • Partial or full dentures offer removable options to replace missing teeth and restore your smile.

  • When a tooth is missing, the surrounding teeth can shift or "drift" into the empty space. Teeth from the opposite jaw may also erupt into the gap.

    This shifting can lead to bone loss, gum disease, bite alignment problems, cavities, and even TMJ (jaw joint) issues.

    For these reasons, it is always best to replace missing teeth promptly to maintain your oral health and prevent future complications.

  • Saving your natural teeth is almost always the best approach when restoration is possible.

    With advanced periodontal treatment, lost bone and gums can often be rebuilt. With root canal therapy, decay that has reached the nerve can be repaired. A skilled dentist can restore broken or decayed teeth with crowns or dental bonding.

    However, if dental repair is unlikely to succeed, the tooth may need to be extracted. It is important to consult with an endodontist or periodontist to fully evaluate your treatment options.

  • Even with regular brushing, cavities and gum disease can still occur due to several factors:

    • Genetics: Some people are more prone to dental problems.

    • Medications: Certain prescriptions can cause dry mouth, increasing cavity risk.

    • Medical Conditions: Illnesses that affect the immune system or saliva production can lead to dental issues.

    • Lifestyle Factors: Smoking, high-sugar or acidic diets, excessive alcohol use, and recreational drug use can damage teeth.

    • Oral Hygiene: Brushing incorrectly or not flossing regularly can contribute to decay and gum disease.

    Seeing a dentist for a thorough evaluation and review of your medical history can help identify underlying causes.

  • Bone grafting is an excellent treatment option for repairing bone lost due to periodontal disease.

    A periodontist can use a variety of techniques to regenerate lost bone and gum tissue, increasing the likelihood of saving your natural teeth.

    Long-term studies show that saving natural teeth is often more cost-effective and more successful than replacing them with dental implants.

    Even if teeth have already been lost and you have been told you are not a candidate for dental implants,bone grafting can rebuild jawbone strength to support future dental implant placement.

  • If you are experiencing bone loss due to gum disease, it is unlikely to reverse on its own without treatment.

    With proper periodontal care, bone loss can often be stopped and, in some cases, reversed.

    The process typically involves:

    • Diagnosing the cause of bone loss with a periodontist.

    • Stopping active bone destruction.

    • Adding gum and bone tissue to rebuild areas of lost periodontal tissue.

    • Maintaining results through regular checkups and cleanings.

  • Dental implants can often be avoided by saving your own teeth.

    • Periodontal treatments using bone and gum grafts can stabilize and repair natural teeth.

    • Dental crowns and restorative procedures can rebuild broken teeth.

    • In cases where saving a tooth is not possible, dental bridges or partial dentures can replace missing teeth without the need for implants.

  • Whether a loose tooth can tighten back up depends on the cause:

    • Trauma or injury: Teeth often tighten naturally after healing.

    • Premature contact: Teeth hitting other teeth too early may tighten after adjustment.

    • Orthodontic movement: Teeth typically stabilize once pressure is removed.

    • Infections: Teeth may tighten after the infection clears.

    • Chronic periodontal disease: Teeth usually require periodontal treatment to stabilize them.

  • Yes, depending on the cause of the loose teeth, many treatments exist to stabilize loose teeth.

    • Splinting: Joining loose teeth to stable teeth with special materials for support.

    • Periodontal therapy: Repairing bone and gum tissue to strengthen the teeth.

    A periodontist can recommend the best option based on your specific case.

  • A common method for stabilizing a loose tooth is called splinting

    • A wire or fiber material connects the loose tooth to neighboring teeth, providing stability.

    • Over time, the ligament around the tooth can strengthen, especially with additional periodontal treatment to support gum and bone health.

    A loose adult tooth can often be stabilized using a technique called dental splinting. This procedure involves attaching a small, flexible wire or high-strength fiber between the loose tooth and the neighboring stable teeth, creating added support and reducing movement. By limiting mobility, the ligament that connects the tooth to the surrounding bone has a chance to heal and reattach more securely. In many cases, additional treatment such as bone grafting or gum tissue regeneration may also be recommended to rebuild the supporting structures and improve long-term stability. At Dr. Scott Froum’s Midtown Manhattan practice, personalized treatment plans are created to help save and strengthen teeth that might otherwise be at risk of loss.

  • Swollen, red, and loose gums are signs of gum disease (gingivitis) or bone loss (periodontal disease).

    In these conditions, the gums can become infected by bacteria, causing them to swell, bleed, hurt, and pull away from the teeth.

    Periodontal treatment and professional teeth cleanings are needed to remove the bacterial infection and encourage the gum tissue to tighten and heal properly.

Related Services and Topics

Contact us at 212-751-8530 to schedule an appointment.

Back to Periodontal Services

Contact Us

If you are concerned about gum health, bone loss, infection, or whether your teeth can be saved, a specialist evaluation can help clarify your options.

Contact our Midtown Manhattan office today to schedule your appointment with Dr. Scott Froum, a leading implantologist and periodontist in NYC.

Call us to make an appointment: 212-751-8530

Location: 1110 2nd Ave Ste 305, New York, NY 10022

Click for directions