Dental model displaying a dental implant with crowns and roots, flanked by two other dental models on a dark surface.

Dental Implants Midtown East NYC

Who Is The Best Dental Implant Periodontist in NYC?

Female Patient with the Doctor

Dr. Scott Froum provides dental implants to patients in Midtown East NYC. Choose dental implants to benefit from their ability to simulate natural teeth aesthetics and functionality, preserve bone structure, restore proper chewing ability, and enhance your smile. Dental implants at our Midtown East NYC office offer a strong and secure foundation for replacing missing teeth, replicating their natural function and appearance. Contact us at 212-751-8530 to learn more or schedule an appointment.

Types of Dental Implants

Single Tooth Dental Implants

Dental implants replace the root of a missing tooth in the mouth. Implants provide a strong foundation for fixed or removable replacement teeth and can aid in preventing bone loss in the jaw.

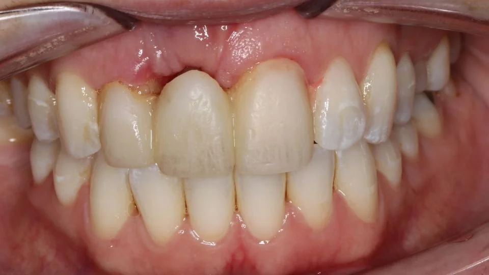
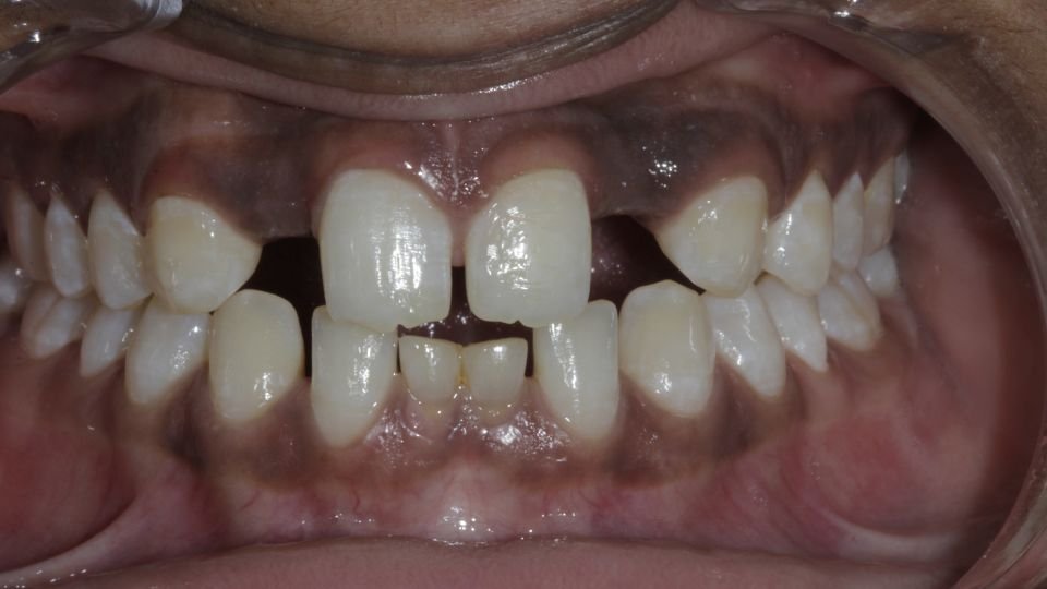
Close-up of a person's mouth showing teeth with discoloration and plaque buildup, some teeth are crowded and misaligned.
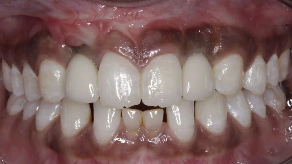
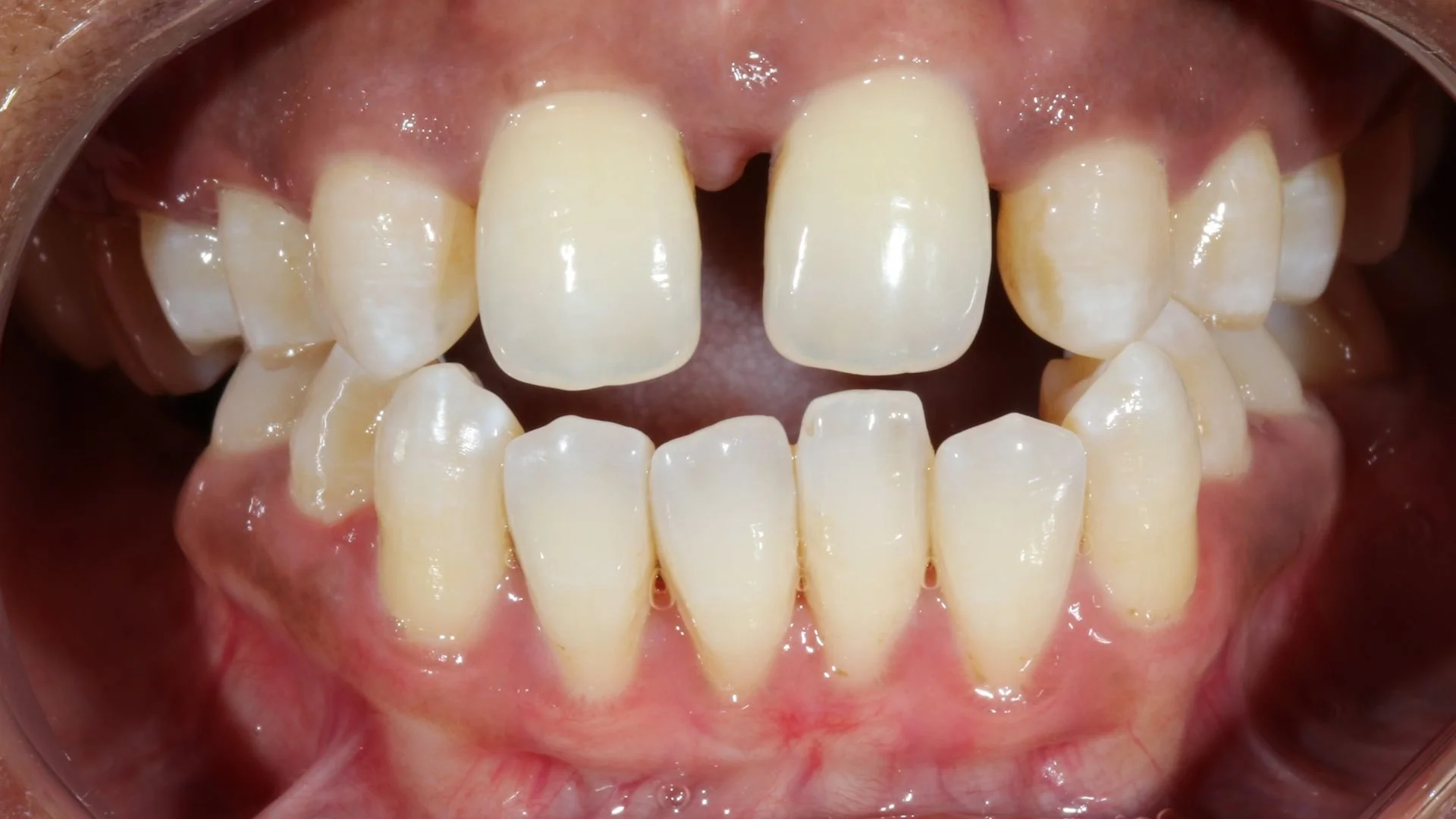
Close-up of a person's mouth showing upper and lower teeth, with the upper teeth appearing to have dental veneers or crowns.
Patient had a failed bone graft left with cosmetic issues and treated at Dr Froum's office with bone graft and single dental implant.

Bridges Supported by Dental Implants

An implant-supported bridge is a fixed dental restoration solution used to replace multiple missing teeth in a row — typically three or more. This restoration typically requires two implants to support the porcelain bridge. The bridge provides a functional and aesthetic replacement for a patient’s natural teeth, allowing patients to chew, speak, and smile more confidently. This restoration is anchored directly onto the jawbone, making it more stable and durable than removable dentures

  • An implant-supported bridge is a restorative solution for spaces where three or more adjacent teeth are missing and offers several advantages over traditional tooth replacement methods. Because it is anchored by implants, the bridge provides enhanced stability and does not rely on neighboring teeth for support, preserving natural tooth structure. It also helps prevent jawbone loss in the area of the missing teeth by stimulating the bone where implants are placed. Patients benefit from a more natural look and feel, as the bridge is custom-crafted to match surrounding teeth. Additionally, implant-supported bridges are non-removable, making them more convenient and comfortable than partial dentures, with long-term reliability when properly maintained.

Close-up of human teeth with noticeable discoloration and tartar buildup on some teeth.
Close-up of a person smiling, showing white teeth and pink lips.
Patient was missing teeth received dental implants to support bridges.

Smile Makeover Supported by Dental Implants 

For patients who are missing many or all of their teeth, implant-supported dentures can replace missing teeth effectively. This restorative solution requires the placement of two or more dental implants. In order to replace a full arch denture, a minimum of four implants is generally recommended. Eligibility for this solution is dependent upon a number of factors, with jaw bone density being one of the most significant determining factors. If a patient has suffered bone loss, additional procedures such as bone grafting may be required to ensure long-term success.

  • Traditional dentures rely on an acrylic base that sits directly on the gums, held in place by a paste or adhesive. Using dental implants as supports for dentures allows for a smaller and more comfortable base, with significantly less shifting of the prosthesis during eating and speaking.


    Implants can support both full and partial dentures, and can be used for both fixed and removable dentures. If a removable denture is selected, the denture will “snap” onto the implant rather than requiring the use of denture paste or adhesives, offering a more secure and natural-feeling fit.

Person holding a black, multi-layered object with a reflective surface, possibly a polished stone or metal, with visible dust particles and reflections.
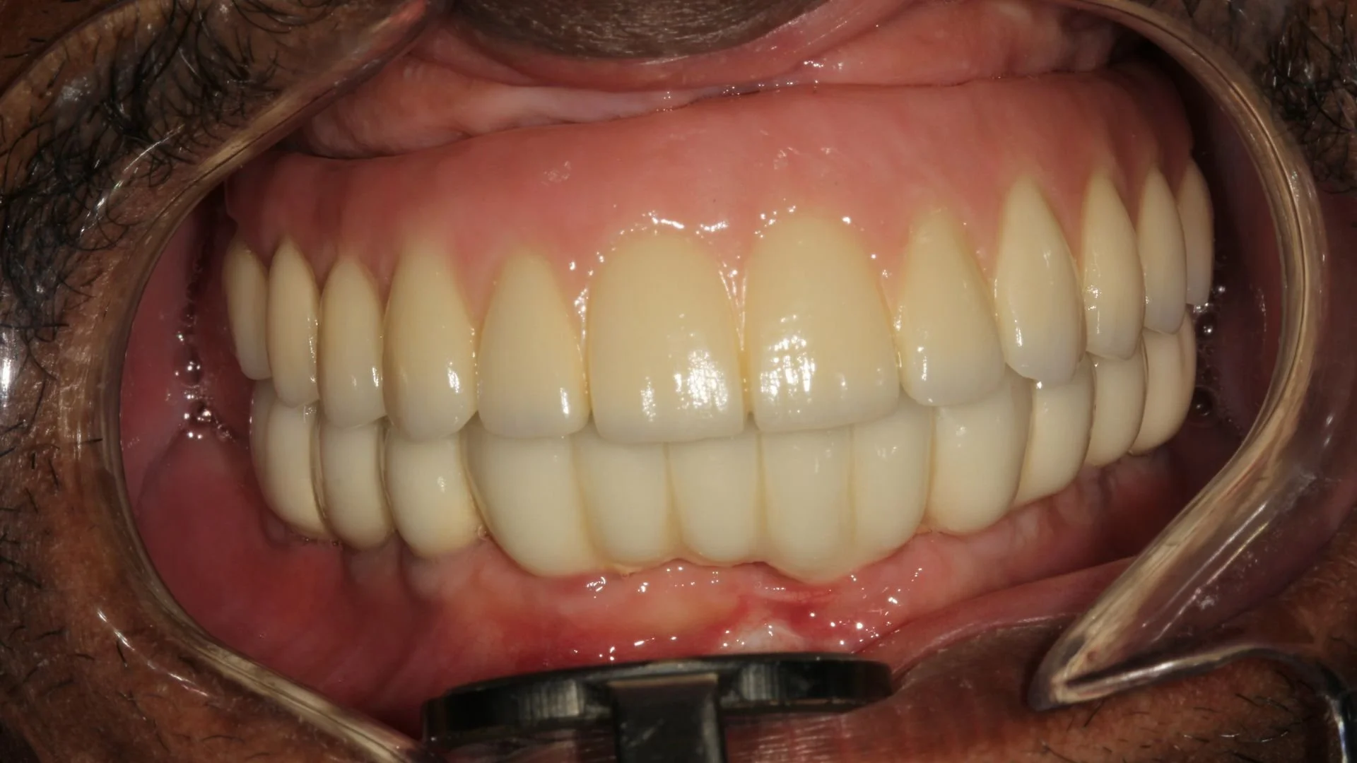
Close-up of a person's open mouth with dental prosthetics, showing upper and lower teeth, held open with a dental cheek retractor.
Patient was left with no teeth. Dr. Froum's dental practice fitted the patient with a complete set of dental implants to complete a smile makeover.

Mini Dental Implants (MDIs)

In some cases, a full size implant is not a viable option, and in these cases a Mini Dental Implant (MDI) may be a great solution. Small spaces or inadequate bone mass in the jaw may prevent the use of traditional implants. Mini Dental Implants are similar to regular implants but, as the name suggests, are significantly smaller in diameter. Traditional dental implants typically require two visits and require a waiting period of a few months between dental implant placement and final restoration.

  • Dental implant surgery involves the use of local anesthesia and sedation options to manage pain during the procedure, ensuring the patient does not feel any discomfort. In contrast, the placement of MDIs are minimally invasive, often requiring only local anesthetic and no sutures. For this reason, MDIs can often be placed with the final replacement tooth in one day, offering a convenient and efficient solution for eligible patients

    Dr. Scott Froum’s Midtown Manhattan practice, MDIs are used selectively to meet the needs of patients who are not candidates for full-size implants or are seeking a less invasive alternative.

Close-up of a person's mouth showing misaligned, broken, and crowded teeth with noticeable gaps and discoloration.
Close-up of a person's slightly crooked teeth with gaps, some discoloration, and an uneven bite.
Patient had mini dental implants placed to support congenitally missing teeth.

 The Benefits and Importance of Dental Implants

Discover how dental implants can restore your oral health, prevent bone loss, and enhance the appearance of your smile.

Dental Implant Frequently Asked Questions

  • The cost of dental implants in NYC typically ranges  from $3,500-6,000 for a complete restoration, including the dental implant, abutment, and crown.  Although the national average of a dental implant, abutment, and crown can range from $1,500-7,000, pricing differences often depend on several factors, including whether bone graft materials are needed, what kind of material is used, and what is the surgical experience of the individual placing your dental implant.


  • Much of the dental implant cost in NYC is influenced by  the materials being used and the laboratory services used during dental implant. Customized dental implant parts that are fabricated by a reputable, high-quality dental labs using premium material can cost more than cheaper labs that use non-customized parts from overseas labs. Additionally, a person may need additional procedures when getting dental implants in NYC such as additional bone graft or gum graft, which can add to the overall treatment cost.

  • Many dental insurances in NYC will often cover a portion of the cost of dental implant treatment. How much an insurance plan will cover for dental implant treatment often depends on the particular insurance plan of the patient. It is important to call your insurance carrier to find out in detail how much your specific plan will cover for dental implant procedures, including associated services such as bone grafting and abutment placement.

  • How soon after a tooth extraction a person is able to get dental implants placed is dependent on many things. 

    First, your periodontist must assess whether there is enough bone and gum tissue present after the tooth extraction to be able to accept a dental implant. If bone loss is present, a bone graft may be needed before proceeding.

    Second, if there was  an infection present around the tooth being removed, it must be thoroughly treated and resolved to ensure the dental implant site heals properly 

    Third, the surgical technique and experience of the provider plays a significant role. An experienced periodontist like Dr. Froum can often offer advanced options such as immediate implant placement, when appropriate

    Finally, a patient’s overall medical history, medications, and healing capacity must be considered, as certain systemic conditions may require a more cautious approach.

    Depending on these variables, dental implants may be placed immediately after tooth extraction, within a few weeks, or after a healing period of several months. At Dr. Scott Froum’s Midtown Manhattan office, every treatment plan is carefully tailored to ensure the timing of implant placement aligns with optimal healing and long-term success.

  • Dental implants placed in NYC are typically better than traditional dentures for most patients. A natural tooth in a healthy person that has no bone loss or gum loss will function with 100% bite power. A dental implant functions at around 95% of bite power. A denture functions at 20% of bite power. In addition to superior function, dental implants can preserve the jawbone from deterioration after you lose a tooth, while dentures cause the jaw bone to be lost in a quicker manner. Finally, dental implants are usually permanently fixed and do not need to be removed at night, while dentures have to be taken out and cleaned.

  • Typical dental implant placement is not painful and can be done under local anesthesia, the same type of anesthesia when you get a dental filling. Dental implants performed by a skilled periodontist in NYC can be one of the easier surgical procedures performed. The typical appointment for a dental implant is a same-day appointment lasting 30-60 minutes depending on the number of dental implants being placed.

  • After you get a dental implant placed in NYC there are many types of temporary tooth replacement options while you wait for the implant to become part of your jaw.  At Dr. Scott Froum’s Midtown Manhattan practice, patients are offered customized temporary solutions to maintain both function and aesthetics during this transitional period. Common options include removable appliances (such as a flipper or partial denture) and fixed temporary bridges that are supported by the adjacent teeth. In select cases, when conditions are ideal and the implant is placed with high primary stability, a temporary crown can even be attached to the implant on the same day—a procedure known as immediate provisionalization. Your treatment plan will be carefully designed to ensure you remain comfortable and confident throughout the healing process.

  • Good candidates for dental implants in NYC are individuals who have their oral health issues and underlying medical conditions under control, as these factors can impact the suitability for dental implants. Age is typically not a factor in preventing someone from getting dental implants. Even patients with insufficient bone or gum tissue may still be candidates, thanks to advanced bone grafting and gum grafting techniques that can rebuild the jawbone for successful implant placement.

  • Depending on the individual case, a person can get a dental implant in one day.Ideal candidates are patients who are healthy, have enough bone and gum tissue, have a good bite, and are willing to adhere to after-care instructions. A same-day implant can provide immediate function and aesthetics when conditions are appropriate.

  • A person that has a tooth pulled in NYC and does not replace it can experience significant jawbone loss in the area.. Additionally, your bite may change and teeth may shift into that space after the tooth is removed. If you lose enough teeth without replacing them, the height of your face may change giving you an older-looking appearance.

Related Services

Contact us at 212-751-8530 to schedule an appointment.

Contact Us

Ready to restore your smile?

Contact our Midtown Manhattan office today to schedule your consultation with Dr. Scott Froum, a leading expert in dental implants in NYC.

Call us to make an appointment: 212-751-8530

Location:

1110 2nd Ave Ste 305
New York, NY 10022

Click for directions