Bleeding After a Dental Crown

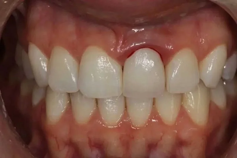
Close-up of bleeding gums in the upper section of a person's mouth.

Why Do My Gums Bleed After a Dental Crown Has Been Placed?

Gum bleeding after you get a dental crown or veneer placed can be a frustrating problem and can lead to gingivitis and periodontal disease if left untreated. Keep reading to learn why this can occur and some of the options available so you and your periodontist can work together to treat this problem:

Do Dental Cements Cause Gum Bleeding?

Dental crowns and veneers are usually placed onto your teeth with different types of dental cement. These cements have different viscosity and sometimes they can flow into the gums and cause irritation and bleeding. These cements can also attract bacteria that will stick to the cement and cause bleeding. If left for a longer period of time, these bacteria can cause the breakdown of bone and gum tissue leading to periodontal disease. If you have bleeding gums after a dental crown or veneer is placed, go to the dentist to get it checked. The dentist can take an x-ray of the area and see if the cement is there. Unfortunately, some dental cements will not show up on an x-ray even if it is in the gum tissue so the dentist will have to use dental instruments to check for the cements. If the cement is present, it can often be removed with a scaler during a gum cleaning or deep gum cleaning. If the bleeding continues after the cleaning, referral to a periodontist may be needed in order to fully remove the cement.

The Dental Crown was Placed too Far into the Gums

There is a space that exists between the tip of the gums and the bone surrounding the tooth that is filled with fibers that attach the gums to the tooth. This space is intended to not have any dental crown or veneers placed into them. A dentist will sometimes place a crown into this area by accident or as a way of hiding the metal at the base of the crown.

If this occurs it is known as “violation of the biologic width” and is a dental term used to signify sinking of the crown into that particular gum space. The body can react to this violation with:

  • Inflamed gums

  • sore gums

  • bad breath

  • gum bleeding

If left unchecked bone and gum tissue around the crown or veneer can start to become damaged. The first line of treatment usually involves seeing a dentist to try and clean around the crown or veneer to stop the bleeding. If this gum bleeding continues, then removing the crowns and referral to a periodontist for crown lengthening evaluation may be necessary.

How Does an Unpolished Dental Crown or Veneer lead to Gum Bleeding?

Another reason gum bleeding can occur after the placement of a dental crown or veneer is that the edge of the crown where the crown meets the gum is rough. Rough areas of crowns can attract bacteria which can cause the gums to become red, swollen, and sore. Once again if left unchecked, this can lead to destruction of bone and gum tissue as well as bad breath. The treatment for a rough dental crown is the smoothing out of the crown with dental instruments designed to polish the crown margin.

Lack of Flossing or Water Flossing Around the Dental Crown or Veneer

Oral hygiene is extremely important after a dental crown or veneer is placed. Often it is not enough to just brush your teeth twice a day when someone gets a crown. Flossing or water flossing is required in order to remove the bacteria that can gather around a crown. Dental crowns or veneers have microscopic spaces where the crowns first meet the tooth. These spaces are too hard to see but not too hard for bacteria to get into them and cause bleeding gums. Removal of this bacteria can be accomplished by good habits such as flossing, interdental cleaning, water flossing, and tooth brushing. If your gums continue to bleed after getting a dental crown and oral hygiene is not helping, referral to a periodontist may be required.

Call 212-751-8530 today to schedule a consultation with Dr. Froum or request an appointment.

Contact Us

Address

1110 2nd Ave Ste 305

New York, NY 10022

Phone

Tel: 212-751-8530

Fax: 212-751-8544

Email

scottfroumdds@gmail.com

Hours

Monday | 9am - 5pm

Tuesday | 9am - 5pm

Wednesday | 9am - 5pm

Thursday | 9am - 5pm

Friday | 9am - 5pm

Saturday | Closed

Sunday | Closed

Previous
Previous

Common Myths About Gum Disease