Saving a Tooth with a Maxillary Root Amputation

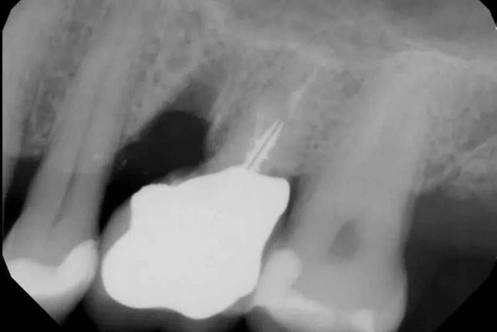
X-ray image of a maxillary molar showing a root considered for maxillary root amputation.

What is maxillary molar root amputation?

Maxillary root amputation is a surgical treatment that removes one of the roots of a maxillary tooth while leaving the crown and remaining roots intact.  Root amputation treatment is used to save teeth with bone loss, have failing or failed root canals, or have a root that is fractured and are supposed to be taken out. Using this technique to save compromised upper molar teeth with root amputation can often be successful but the technique is sensitive and complex.

When is a maxillary molar root amputation a good idea?

  1. There is enough bone support around the remaining roots

  2. The periodontist performing the procedure is experienced in this specific type of treatment

  3. The root canal on the tooth (if the tooth has a root canal) is in good shape

  4. A tooth crown can be placed on the tooth in proper function and bite

  5. Routine dental cleanings and good home hygiene can be performed

X-ray of a upper molar tooth with a root amputation that allowed the patient to keep the tooth and avoid a sinus lift and dental implant

What is the success rate of maxillary molar root amputation?

Prognosis for molar teeth with root amputation is good, provided case selection and treatment is performed properly as stated above. One 15-year study showed long term success rates to be the same between molars with maxillary root amputation as compared with dental implants. Another 10 year long term study showed that teeth that had bone loss and were planned to be extracted, showed excellent success and function over the time period of the entire study. In addition, patients were able to avoid taking out the teeth, having to perform sinus lifts, and place dental implants when maxillary molar root resection was performed. Finally, this treatment on average is about 25% of the cost when comparing the alternative of taking out the tooth, placing a bone graft, performing a sinus lift, and placing dental implants to replace the teeth that were extracted.

Who is a candidate for maxillary molar root amputation?

Patients that are not eligible for dental implant therapy due to medical history, smoking, financial limitations, and/or who do not want dental implants or sinus lifts may be eligible for this type of procedure. Long term success rates are similar when comparing this type of tooth saving procedure to dental implant therapy.

To find out more about maxillary molar root resection and if it is the right treatment for you, call 212-751-8530 to schedule a consultation with Dr. Froum or contact us today.

Contact Us

Address

1110 2nd Ave Ste 305

New York, NY 10022

Phone

Tel: 212-751-8530

Fax: 212-751-8544

Email

scottfroumdds@gmail.com

Hours

Monday | 9am - 5pm

Tuesday | 9am - 5pm

Wednesday | 9am - 5pm

Thursday | 9am - 5pm

Friday | 9am - 5pm

Saturday | Closed

Sunday | Closed

Previous
Previous

Diseases That Affect the Tongue

Next
Next

What is Crown Lengthening and When Do I Need It?